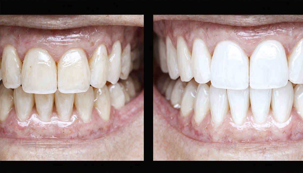
Professional teeth whitening can dramatically brighten your smile by up to eight shades in a single 45-120 minute treatment. You’ll need a dental exam first to assess your starting shade and guarantee you’re a good candidate. During treatment, your dentist will protect soft tissues before applying high-concentration hydrogen peroxide gel, often enhanced with LED light. With proper maintenance and good oral hygiene, your results can last 1-3 years. Discover the essential steps for maximizing your whitening success.
Key Takeaways
- Professional teeth whitening can lighten teeth by several shades in a single 45-minute to 2-hour treatment session.
- Schedule a professional cleaning and consultation before whitening to ensure optimal treatment effectiveness and safety.
- Avoid staining foods, beverages, and tobacco products 48 hours before and after treatment for best results.
- Results typically last 1-3 years with proper maintenance, including regular dental cleanings and good oral hygiene practices.
- Use desensitizing toothpaste one week before treatment and maintain touch-up sessions monthly to extend whitening results.
What to Expect From Professional Teeth Whitening
When you schedule a professional teeth whitening treatment, you’ll begin with an extensive oral examination where your dentist assesses your initial tooth shade and addresses any existing dental issues.
During the treatment process, your dentist will apply protective barriers to shield your soft tissues before coating your teeth with a high-concentration hydrogen peroxide gel. Patients with large restorations may achieve uneven whitening results.
The whitening procedure typically takes 45 minutes to two hours, involving multiple cycles of gel application and light activation. A specialized blue LED light enhances the whitening gel’s effectiveness during each cycle.
Expected results include noticeably brighter teeth after just one session, particularly if you have yellow discoloration.
You’ll see more uniform whitening compared to over-the-counter products, though results may vary based on your initial tooth shade and lifestyle habits.
For severe staining, your dentist might recommend multiple sessions to achieve ideal results.
Keys to Long-Lasting Whitening Results
After achieving your desired level of whiteness through professional treatment, maintaining those results requires a strategic combination of proper oral care and lifestyle adjustments.
You’ll need to brush twice daily, floss regularly, and schedule professional cleanings every six months. Custom-fitted whitening trays offer ideal maintenance, with monthly touch-up sessions extending results for up to three years. Activated charcoal brushing can provide additional stain removal when used weekly.
Your whitening frequency can be greatly reduced by making smart dietary choices. Limit staining substances like coffee, tea, and red wine, and use a straw when consuming dark beverages. Intrinsic stains from medications or trauma may require more frequent professional touch-ups to maintain results.
Rinse with water after meals, and consider incorporating crunchy fruits and vegetables into your diet. For ideal longevity, combine these lifestyle adjustments with professional-grade whitening products and consistent oral hygiene practices.
Safety Measures and Risk Prevention
Safe tooth whitening requires careful attention to product concentration and application guidelines to prevent adverse effects. Products containing more than 6% hydrogen peroxide aren’t considered safe, so it’s essential to verify concentrations before use. Following proper safety protocols helps prevent damage to your enamel and gums.
Your risk assessment should include evaluating existing dental work, as restorations won’t respond to whitening agents. The rise of video call meetings has led to increased interest in teeth whitening products and treatments. You’ll need professional guidance to determine treatment frequency, typically limiting sessions to once or twice yearly.
To minimize sensitivity and irritation, which affects up to 78% of users, opt for lower peroxide concentrations and shorter application times. Consider products with desensitizing agents, and never exceed recommended treatment durations. Clinical studies show that ozone application after treatment can enhance whitening results while reducing sensitivity. If you experience persistent discomfort, discontinue use and consult your dental professional immediately.
Proven Whitening Methods and Their Effectiveness
You’ll find significant differences between professional whitening treatments and at-home options, with laser and in-office procedures producing more dramatic results in fewer sessions.
Professional treatments can lighten teeth by multiple shades in a single visit and typically last 1-3 years, while at-home methods deliver gradual improvements over weeks with results lasting 6-12 months. Recent developments in treatment now include digital customized trays that ensure more precise application and better overall results.
Though professional treatments cost more upfront, their superior effectiveness and longevity often justify the investment compared to repeated purchases of home whitening products. At-home whitening strips require daily 30-minute applications for optimal results.
Professional Vs Home Results
When considering teeth whitening options, the choice between professional treatments and at-home methods reveals distinct differences in effectiveness, speed, and safety profiles.
Professional whitening using 25-40% hydrogen peroxide can brighten teeth up to 10 shades in one session, though you’ll likely experience more sensitivity. This higher concentration delivers faster results but doesn’t necessarily produce better long-term outcomes than home whitening options.
Home whitening products containing 3-16% peroxide concentrations achieve similar results over time with less sensitivity. While they require more consistent use and careful adherence to instructions, FDA-approved home treatments are safe and effective when used properly. The global whitening market continues to expand, reaching $6.14 billion in 2020 as more consumers seek teeth whitening solutions.
Studies show that after several weeks, both professional and home methods can achieve comparable shade improvements, making your choice primarily dependent on your timeline and sensitivity concerns. Results typically last one to two years, though this duration can vary based on lifestyle habits and dietary choices.
Duration of Color Change
Three distinct phases characterize teeth whitening results: immediate brightening, potential short-term regression, and long-term stabilization.
You’ll notice significant color improvement immediately after treatment, but don’t be concerned if you experience slight regression within the first six weeks – this is normal and often due to temporary dehydration during the process.
The good news is that both high and low concentration treatments deliver stable, long-lasting results.
Clinical studies show that whitening longevity extends well beyond the first year, with minimal color regression after the initial stabilization period.
Your results’ durability will depend on several factors, including your lifestyle choices and oral hygiene habits.
To maximize your whitening investment, you’ll want to minimize exposure to staining substances and maintain proper dental care routines.
Essential Pre-Treatment Preparation Steps

Proper preparation plays an essential role in achieving ideal teeth whitening results. Your pre-treatment checklist should begin with scheduling a professional dental cleaning and whitening consultation to assess your candidacy and discuss treatment options.
You’ll need to optimize your oral hygiene routine by thoroughly brushing twice daily and flossing regularly in the days leading up to treatment.
Minimize consumption of staining foods and beverages at least 48 hours before your appointment, using a straw when necessary. If you’re concerned about sensitivity, start using desensitizing toothpaste one week prior.
On treatment day, eat beforehand, remove oral piercings, and allow 1-2 hours for the procedure. Remember to take pre-treatment photos to track your progress and document your transformation.
Post-Treatment Care and Maintenance
To maintain your newly brightened smile, you’ll need to avoid staining substances like coffee, tea, red wine, and dark-colored foods for at least 48 hours after treatment.
Your results will last longer if you minimize exposure to acidic foods and beverages that can weaken tooth enamel, such as citrus fruits and sodas.
Using a straw when drinking potentially staining beverages and rinsing your mouth with water after meals will help protect your whitening investment.
Maintaining Your Bright Results
Maintaining your newly brightened smile requires a thorough approach that combines diligent oral hygiene, smart dietary choices, and regular professional care.
You’ll need to brush twice daily with whitening toothpaste, using a soft-bristled or electric toothbrush, and floss regularly to prevent stain buildup between teeth. For ideal whitening maintenance, rinse with an antibacterial mouthwash and clean your tongue daily.
Protect your investment by using a straw when drinking staining beverages, rinsing with water after consuming pigmented foods, and scheduling dental cleanings every six months.
If you experience sensitivity, use specialized toothpaste and avoid harsh brushing. Don’t exceed recommended whitening touch-up frequencies, and consult your dentist for personalized maintenance advice based on your treatment type and oral health needs.
Essential Foods To Avoid
After completing your teeth whitening treatment, protecting your results requires strict attention to the foods and beverages you consume. Your teeth are particularly susceptible to staining and sensitivity during the first 48 hours post-treatment, making it essential to avoid certain items that can compromise your bright smile.
- Avoid dark foods including berries, beets, and deeply pigmented fruits, as these contain strong natural dyes that readily adhere to your newly whitened enamel.
- Skip acidic beverages like citrus juices, wine, and carbonated drinks that can erode enamel and increase sensitivity while creating pathways for future stains.
- Eliminate sticky sweets, colored sauces, and spicy foods with intense pigments, such as curry or turmeric, which can quickly reverse your whitening results through prolonged contact with tooth surfaces.
Frequently Asked Questions
Can I Whiten My Teeth While Wearing Braces or Dental Crowns?
You shouldn’t whiten teeth during braces treatment, as it causes uneven results under brackets. While teeth whitening options exist, wait until after braces removal. Dental crowns won’t respond to any whitening treatments.
How Much Does Professional Teeth Whitening Typically Cost?
You’ll find teeth whitening options at various price points: in-office treatments cost $300-$1,000, professional take-home kits range $100-$600, while over-the-counter products are typically $5-$55.
Is Teeth Whitening Safe During Pregnancy or While Breastfeeding?
Due to pregnancy safety and breastfeeding concerns, you shouldn’t whiten your teeth during these periods. There’s limited research on potential risks, so dentists recommend waiting until after you’ve finished breastfeeding.
Can Children or Teenagers Undergo Teeth Whitening Treatments?
You’ll want to hold off – safety concerns make teeth whitening risky for children under 16. Age restrictions exist because young teeth are still developing. Professional supervision is essential for teens considering treatment.
Will Whitening Treatments Affect Existing Dental Fillings or Veneers?
Whitening treatments won’t affect your fillings or veneers. You’ll need professional help addressing filling discoloration, as these materials lack veneer compatibility with bleaching agents and may require replacement for color matching.
References
- https://pmc.ncbi.nlm.nih.gov/articles/PMC10302806/
- https://www.thedentalspajersey.com/blog/teeth-whitening-statistics-2024
- https://www.alpinewhite.com/en/article/teeth-whitening-statistics/
- https://pmc.ncbi.nlm.nih.gov/articles/PMC4058574/
- https://www.suttonpda.com/teeth-whitening-results/
- https://mylocaldentists.com.au/teeth-whitening-before-and-after/
- https://auraglow.com/blogs/articles/teeth-whitening-facts-statistics
- https://www.absolutedental.com/blog/teeth-whitening-before-and-after/
- https://nhakhoaminhkhai.net/what-you-should-know-before-and-after-teeth-whitening/
- https://www.medparkhospital.com/en-US/disease-and-treatment/teeth-whitening-treatment



