Your whitening strips may not be working effectively due to the type of discoloration you’re experiencing. While strips work well for surface-level (extrinsic) stains from coffee or wine, they’re less effective for internal (intrinsic) stains caused by medication, trauma, or genetics. The strips’ lower peroxide concentration and limited contact time also affect their performance. Understanding your specific type of discoloration will help determine the most appropriate whitening solution for ideal results.
Key Takeaways
- Intrinsic stains deep within tooth structure don’t respond well to whitening strips, which mainly target surface-level discoloration.
- Inconsistent application or skipping treatments reduces effectiveness, as strips require strict adherence to recommended schedules.
- Lower peroxide concentrations in over-the-counter strips may not be strong enough for severe or long-standing discoloration.
- Existing dental work like crowns and fillings won’t whiten with strips, creating uneven results.
- Natural tooth characteristics, including thin enamel or genetic factors, can limit the effectiveness of whitening strips.
Understanding Different Types of Tooth Discoloration
When it comes to tooth discoloration, understanding the distinct types can help you choose the most effective whitening treatment.
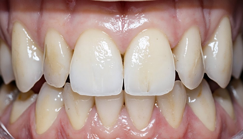
Extrinsic stains occur on your tooth’s surface enamel, typically caused by substances like coffee, tea, wine, and tobacco. These surface-level stains often respond well to whitening strips since the staining particles bind to the enamel’s exterior. Dark-colored foods like berries and soy sauce can also contribute significantly to extrinsic staining. An acidic mouth environment can make your teeth more susceptible to staining by weakening the enamel.
Surface stains from coffee, wine, and tobacco respond favorably to whitening strips because they only affect the tooth’s outer enamel layer.
Intrinsic stains, however, develop within your tooth structure beneath the enamel. These deeper discolorations result from medication use, trauma, excessive fluoride exposure, or genetic factors. You’ll find that whitening strips are less effective on intrinsic stains, as the discoloration lies too deep for surface treatments to reach.
Age-related discoloration presents additional challenges, combining both types of staining while featuring natural yellowing from thinning enamel that exposes the dentin beneath.
The Science Behind Whitening Strip Technology
Modern whitening strip technology relies on a sophisticated combination of adhesive polymers and controlled-release peroxide delivery systems. When you apply these strips, their bioadhesive properties create a moisture-resistant seal against your teeth, guaranteeing ideal contact between the whitening chemistry and enamel surface.
The strip’s durability comes from specialized polymers like PVP and PVA, which form a flexible film that maintains position despite exposure to saliva. This design enables controlled peroxide release throughout your treatment session, targeting both surface and deep-set stains through oxidation. A slight acidic pH can enhance the overall whitening activity of the peroxide. The thin, flexible strips conform perfectly to your teeth’s unique shape, ensuring maximum contact with stained areas.
As the peroxide breaks down, it releases active oxygen molecules that penetrate your enamel and dentin, chemically altering stain compounds. The consistent, thin layer of gel ensures uniform application, while the engineered delivery matrix maintains therapeutic levels of peroxide throughout the recommended wear time.
Common Mistakes When Using Teeth Whitening Strips
Despite their effectiveness when used properly, teeth whitening strips can cause significant oral health issues if mishandled. Common application errors include placing strips too close to the gums, which can lead to chemical burns and tissue irritation.
Maintaining even application techniques is crucial for consistent whitening results. You’ll also risk uneven results if the strips shift during use or aren’t aligned correctly. Brushing before use can actually increase tooth sensitivity during whitening treatments.
Frequent usage issues stem from exceeding recommended treatment times and ignoring product guidelines. You shouldn’t leave strips on overnight or use them more often than directed, as this can damage your enamel irreversibly and expose sensitive dentin.
If you have existing dental work like crowns or fillings, be aware that whitening agents won’t affect these restorations.
Always consult your dentist before starting treatment, particularly if you have cavities or gum disease, as whitening strips may worsen these conditions.
Factors Affecting Whitening Strip Performance
The effectiveness of teeth whitening strips depends on multiple interacting factors that determine their success rate and final results.
Your type of discoloration plays an essential role – extrinsic stains from beverages and tobacco respond better than intrinsic stains from aging or medications. The whitening effectiveness also relies on the ingredient stability and concentration of peroxide in the strips, with higher concentrations typically producing faster results. These strips generally deliver gradual results over several weeks of use.
Teeth whitening strips work best on surface stains, while deeper discoloration requires stronger peroxide concentrations for noticeable results.
Your consistent adherence to the treatment schedule impacts outcomes markedly. Skipping applications or inconsistent use can reduce treatment effectiveness. Additionally, your oral health conditions, including existing dental work and sensitivity levels, can affect results.
Your natural tooth characteristics, such as enamel thickness and genetic factors, combine with lifestyle habits to influence the strips’ performance. Poor oral hygiene and continued exposure to staining substances can diminish results.
Professional vs. Over-the-Counter Whitening Methods
While both professional and over-the-counter whitening methods can effectively brighten teeth, they differ greatly in their approach, concentration, and results.
Professional whitening uses higher peroxide concentrations (25-40%) and delivers more dramatic results, often achieving 8-10 shades lighter in a single session. You’ll typically see longer-lasting effects, from 6 months to 3 years, with professional treatments. Clinical data shows that treatments with 40% hydrogen peroxide achieve significantly faster whitening effects compared to lower concentrations. Growing consumer demand for teeth whitening reflects an increasing cultural emphasis on self-care and appearance.
OTC effectiveness varies considerably due to lower peroxide concentrations (3-10%). While more affordable, these products require longer treatment times and produce more modest results. You’ll need consistent application over weeks to see noticeable changes.
However, the gentler formulations mean you’re less likely to experience tooth sensitivity. For stubborn discoloration, professional whitening remains your most reliable option, offering customized treatment plans and expert monitoring.
Safety Concerns and Side Effects
You’ll need to contemplate several significant risks when using teeth whitening strips, including tooth sensitivity, gum irritation, and potential enamel erosion from prolonged exposure to peroxide-based ingredients.
To manage these side effects effectively, you can use desensitizing toothpaste, follow application instructions precisely, and maintain appropriate intervals between treatments.
If you experience persistent discomfort or unusual reactions, you should discontinue use and consult your dentist for professional guidance.
Common Risks and Warnings
Despite their effectiveness in whitening teeth, teeth whitening strips carry several important safety risks and potential side effects that users should understand before beginning treatment.
You’ll need to monitor for tooth sensitivity, which commonly occurs during and after treatment due to peroxide exposure of dentin tubules. Proper sensitivity management includes following recommended usage times and frequencies.
You should also prioritize gum care, as strip misplacement can cause irritation, redness, and chemical burns on soft tissue.
Additional risks include potential enamel damage from overuse, uneven whitening results, and possible color mismatching with existing dental work.
While low-concentration peroxide products are generally safe, prolonged or improper use may lead to dental structure concerns.
Professional guidance can help minimize these risks and optimize your whitening results.
Managing Side Effect Impact
Effectively managing side effects from teeth whitening strips requires a systematic approach to minimize discomfort and protect oral health.
For sensitivity management, you’ll want to use fluoride-containing toothpaste or rinses after treatment to help rebuild tooth structure. Your dentist can also recommend specific desensitizing products if you’re experiencing severe discomfort.
To address gum irritation, guarantee proper strip placement and avoid exceeding recommended wear times.
Don’t drink alcohol or smoke during treatment and for several days afterward, as these can worsen tissue inflammation.
If you notice persistent sensitivity or gum problems, discontinue use and consult your dental professional. They can evaluate whether you need alternative whitening methods or if underlying dental issues require attention before continuing treatment.
Optimal Application Techniques for Better Results

When applying whitening strips, you’ll achieve ideal results by carefully aligning the strip edges with your gum line and pressing firmly to eliminate air pockets.
You should follow your brand’s specific timing instructions, typically applying strips twice daily for 30 minutes each session over a 14-day period.
Remember to keep strips away from your gums during placement and maintain consistent daily use throughout the treatment course for maximum effectiveness.
Proper Strip Placement Tips
Since proper placement of teeth whitening strips directly impacts their effectiveness, mastering the application technique is essential for achieving ideal results.
Start by guaranteeing your teeth are completely dry, then carefully align the strips along your gum line while avoiding direct gum contact. Press firmly against your teeth to eliminate air pockets that could reduce gel coverage and whitening efficacy.
You’ll want to position strips precisely without overlaps or gaps to guarantee uniform whitening. If needed, trim strips for a custom fit that prevents gum irritation.
Use mirrors and good lighting to verify proper placement, and don’t exceed the recommended wear time. After treatment, remove strips gently and rinse thoroughly to clear any residual gel that might irritate soft tissues.
Daily Usage Best Practices
To maximize the whitening potential of dental strips, proper daily usage requires careful attention to timing, preparation, and aftercare protocols. Establishing a consistent daily routine guarantees ideal results while protecting your dental health.
You’ll need to brush gently 30 minutes before application, maintain precise wear times of 20-30 minutes, and follow proper post-treatment care.
- Start with clean, slightly dry teeth and apply strips with the gel side making full contact with tooth surfaces.
- Maintain strip consistency by using them at the same time each day for the recommended treatment period.
- Remove strips carefully after the prescribed duration and rinse thoroughly with water.
- Wait 30 minutes before consuming staining beverages or foods to protect your whitening progress.
When to Consider Alternative Whitening Solutions
Despite the widespread popularity of whitening strips, certain situations warrant considering alternative teeth whitening solutions.
You’ll want to explore advanced techniques if you’re dealing with intrinsic stains from medications, trauma, or aging dentin, as strips primarily target surface discoloration.
Consider alternative treatments when you’ve experienced uneven results due to misaligned teeth or poor strip adherence.
If you’re experiencing tooth sensitivity or gum irritation from peroxide-based strips, gentler options like bromelain or PAP-based products may be more suitable.
You’ll also need different approaches if you have dental restorations, as veneers, crowns, and fillings won’t respond to traditional whitening methods.
For rapid, dramatic results, professional in-office treatments offer higher concentrations and more effective delivery systems than over-the-counter strips.
Managing Expectations and Treatment Timeline

While whitening strips can effectively remove surface stains, understanding realistic outcomes helps set appropriate expectations for your treatment.
You’ll typically notice visible improvements within 3-7 days, though maximum results may take 1-2 weeks of consistent use. Managing expectations is essential, as results vary based on your tooth’s baseline color and type of discoloration.
- You can expect a change of 1-2 shade guide units with standard treatment protocols.
- Surface stains from coffee, tea, or smoking respond better than internal discoloration.
- Your treatment timeline should follow manufacturer guidelines: 7-14 days for initial results.
- Maintenance treatments may be necessary every 3-6 months, as results aren’t permanent.
Remember that extending treatment beyond recommended guidelines won’t improve results and may increase risks of sensitivity or enamel damage.
Tips for Long-Term Whitening Success
Maintaining your whitening results requires a combination of proper application techniques and lifestyle modifications. For ideal long-term care, make certain teeth are clean and dry before applying strips, and follow the recommended wear time precisely.
After treatment, avoid staining substances like coffee, tea, and red wine.
Establish consistent maintenance habits by brushing twice daily and flossing regularly to prevent new stains from forming. You’ll need to stay hydrated and consider using whitening toothpaste or mouth rinses as supplementary tools.
Professional cleanings and periodic touch-up treatments may be necessary to sustain your desired shade. If you experience sensitivity, adjust your treatment frequency or use desensitizing toothpaste.
Remember to schedule regular dental check-ups to monitor your oral health throughout your whitening journey.
Frequently Asked Questions
Can Whitening Strips Remove Stains Caused by Medications or Antibiotics?
You’ll find whitening strips can lighten medication stains and antibiotic effects, but they’re less effective on these intrinsic discolorations. Expect moderate improvement rather than complete removal of deep-set staining.
Do Whitening Strips Work Differently on Crowns, Veneers, or Dental Bonding?
Beauty’s only skin deep, but whitening effectiveness varies drastically. You’ll find strips don’t work on crowns, veneers, or bonding due to dental material differences – they only whiten natural tooth enamel.
Is It Safe to Use Whitening Strips While Pregnant or Breastfeeding?
You shouldn’t use whitening strips during pregnancy due to unknown safety risks. While breastfeeding, consult your healthcare provider first, as teeth sensitivity and potential chemical exposure could affect both you and baby.
How Long Should I Wait After Dental Work Before Using Whitening Strips?
You’ll need to wait at least 2 weeks after routine dental procedures, or up to 4 weeks for more invasive treatments like fillings or crowns, before using whitening strips to guarantee proper healing.
Can Teeth Become Resistant to Whitening Strips After Repeated Use?
Yes, your teeth can develop resistance as repeated exposure alters chemical interactions and increases teeth sensitivity. You’ll notice diminishing whitening effectiveness over time, especially if you’re overusing whitening products.
References
- https://www.genesispub.org/effect-of-three-different-whitening-strips-on-dental-sensitivity-oral-tissues-tooth-color-and-luster-a-double-blinded-randomized-controlled-clinical-study
- https://www.healthline.com/health/do-whitening-strips-work
- https://pubmed.ncbi.nlm.nih.gov/33215202/
- https://www.frontiersin.org/journals/dental-medicine/articles/10.3389/fdmed.2021.687507/full
- https://pmc.ncbi.nlm.nih.gov/articles/PMC9915942/
- https://www.pillardental.com/pros-and-cons-of-teeth-whitening-strips/
- https://www.ada.org/resources/research/science/ada-seal-of-acceptance/product-search/a065e000007A36zAAC/crest-3d-whitestrips-family-3
- https://omaha.mypediatricdentalspecialists.com/tooth-discoloration/
- https://www.healthline.com/health/tooth-discoloration
- https://compassdentalgroup.com/top-3-causes-of-tooth-discoloration/



