Your best cosmetic dentistry options for wine stains include professional whitening treatments using 40% hydrogen peroxide formulas like Zoom! or Opalescence Pro, which penetrate enamel to dismantle stubborn chromogens in a single hour. For persistent discoloration, porcelain veneers offer permanent stain resistance through non-porous ceramic construction lasting 10-15 years. Composite bonding provides an affordable alternative for localized staining, though it requires more frequent maintenance. Professional cleanings with ultrasonic scaling and prophy paste create stain-resistant surfaces while removing hardened deposits. Below, you’ll discover how each treatment addresses different severity levels and budget considerations.
Key Takeaways
- Professional whitening uses peroxide-based treatments like Zoom! to penetrate enamel and dismantle wine stains in one hour.
- Dental bonding offers an affordable, single-appointment solution for localized discoloration but absorbs pigments and requires eventual replacement.
- Porcelain veneers provide permanent, stain-resistant coverage lasting 10-15 years, ideal for advanced wine stain damage and comprehensive transformations.
- Ultrasonic scaling and prophy paste remove hardened tartar and break down chromogens during professional cleanings to maintain results.
- Natural remedies like baking soda paste and hydrogen peroxide rinses offer gradual whitening for mild discoloration when properly applied.
Professional Dental Cleaning and Polishing
Professional dental cleaning and polishing stands as the foundation of wine stain removal, delivering immediate results through targeted techniques that address surface discoloration at its source.
The tartar removal process begins with ultrasonic scaling, blasting away hardened deposits that trap wine pigments along your gumline. Your hygienist then applies coarse-grit prophy paste containing hydrogen peroxide to break down stubborn chromogens embedded in acid-softened enamel.
Enamel smoothing techniques follow, using specialized polishing compounds that create a stain-resistant surface. You’ll notice teeth appearing several shades brighter immediately after your session. This procedure outperforms at-home brushing by eliminating the plaque foundation where wine stains cling.
Regular cleanings maintain your results while preventing future discoloration from adhering to newly polished surfaces.
In-Office and Take-Home Whitening Treatments
When surface cleaning falls short, peroxide-based whitening treatments penetrate deep into enamel to dismantle the molecular structure of wine stains that professional polishing can’t reach. In-office systems like Zoom! and Opalescence Pro deliver 40% hydrogen peroxide under controlled conditions, lightening teeth up to eight shades in one hour.
Custom tray whitening extends your results through dentist-provided kits that apply professional-grade gel over several weeks, maintaining the brightness you’ve achieved.
Professional monitoring considerations guarantee your enamel health is assessed before treatment begins, minimizing sensitivity risks while maximizing stain removal. Your dentist can adjust gel concentrations and incorporate desensitizing agents if needed.
After treatment, avoiding wine for 48 hours protects your investment, while scheduled touch-ups every 6-12 months maintain your results based on your consumption habits.
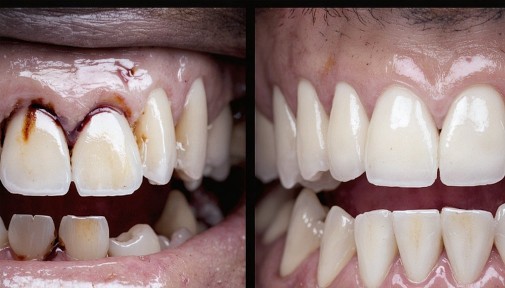
Porcelain and Composite Veneers
Veneers offer a permanent solution when wine stains have compromised your smile beyond what whitening treatments can address. You’ll choose between porcelain and composite materials, each with distinct stain-resistance properties that directly impact how your veneers will respond to future wine consumption.
Understanding the application process, material differences, and long-term maintenance requirements will help you select the option that best protects your investment from recurring wine stains.
Porcelain Versus Composite Materials
For wine enthusiasts concerned about dental discoloration, choosing between porcelain and composite veneers represents a critical decision that’ll impact both your smile’s appearance and your long-term investment. Porcelain’s non-porous ceramic construction actively repels stains from wine, coffee, and colored foods, maintaining pristine whiteness for 10-15 years.
Composite resin, though more affordable initially, absorbs pigments over time and requires replacement every 5-7 years. When evaluating cost considerations, porcelain’s higher upfront expense often delivers superior value through extended durability and minimal maintenance requirements.
Regarding aesthetic appearance, porcelain replicates natural enamel’s translucency more effectively than composite materials. You’ll maintain complete control over your smile’s longevity: porcelain demands only standard oral hygiene, while composite necessitates dietary restrictions and frequent touch-ups to preserve its appearance.
Veneer Application Process
The veneer application process unfolds through five distinct clinical stages, each designed to ascertain ideal fit, function, and aesthetic outcomes for your smile transformation.
Your patient consultation initiates the procedure with diagnostic imaging, bite analysis, and shade selection aligned with your aesthetic objectives. Next, tooth preparation involves controlled enamel removal and decay treatment under anesthetic considerations tailored to your comfort threshold.
Digital scanning or impression materials then capture precise tooth dimensions for laboratory fabrication. Temporary veneers protect prepared surfaces while you evaluate your provisional smile design.
Finally, permanent bonding employs acid etching, priming agents, and dental cement activated by curing light. Each veneer undergoes fit verification through occlusal testing, ensuring seamless integration with your natural dentition and eliminating wine-stained enamel permanently.
Longevity and Maintenance Requirements
Understanding material composition directly influences how long your cosmetic investment will protect your smile from wine stains and daily wear.
Porcelain veneers deliver 10-15 years of performance, extending beyond 20 years with proper care. Their glass-like surface resists wine stains without special maintenance, while composite resin longevity averages just 5-7 years maximum.
Your maintenance control depends on these factors:
- Porcelain requires minimal upkeep beyond regular dental visits and maintains its shine indefinitely
- Composite demands frequent polishing to combat dulling from wine exposure
- Veneer bonding technique quality determines initial durability for both materials
- Porcelain withstands heavy biting forces without chipping, while composite needs careful handling
You’ll face replacement costs sooner with composite veneers, making porcelain the superior long-term investment for managing wine-related discoloration.
Composite Bonding for Surface Stains

While composite bonding offers an affordable and minimally invasive solution for enhancing your smile, its porous material composition makes it more vulnerable to wine stains than alternatives like porcelain veneers. The resin material composition absorbs pigments over time, particularly when the surface becomes scratched or damaged.
You’ll need to take proactive measures to protect your investment. Rinse with water immediately after drinking wine, and use only non-abrasive toothpaste with soft-bristle brushes. Avoid whitening products entirely—they can damage the composite surface and create uneven coloring since bonding doesn’t respond to traditional whitening treatments like natural teeth.
For surface stains, professional polishing effectively removes discoloration. However, deeply embedded stains require complete bonding replacement, as the material can’t be whitened from within.
Understanding How Wine Stains Develop on Teeth
Wine’s acidity creates microscopic damage to your enamel, making its surface uneven and increasingly porous over time. These tiny irregularities trap chromogens—pigment-producing compounds abundant in red wine—which bond to your teeth through tannin interaction.
As acids weaken your enamel’s protective barrier, staining compounds penetrate deeper into the porous structure, resulting in discoloration that becomes progressively harder to remove.
Wine’s Acidic Enamel Impact
Because wine’s pH level consistently falls below 7, every sip exposes your enamel to an acidic environment that initiates immediate mineral breakdown. This contact triggers dental erosion mechanisms that leach calcium from your tooth structure, creating microscopic pits and grooves.
White and sparkling wines accelerate this damage through elevated acidity levels, with carbonic acid intensifying enamel wear.
Your acidic wine consumption habits directly determine erosion severity through these processes:
- Acids dissolve enamel’s mineral matrix on contact
- Softened surfaces develop rough textures that trap pigments
- Repeated exposure prevents natural remineralization
- Progressive thinning eventually exposes underlying dentin
Understanding these mechanisms empowers you to implement protective strategies. Without intervention, continuous acid exposure weakens your teeth’s structural integrity, increasing sensitivity and vulnerability to fractures while creating porous surfaces that retain stubborn discoloration.
Chromogens and Stain Formation
Beyond enamel erosion, your wine consumption introduces chromogens—pigment-producing molecules from grape skins that bind directly to your tooth surfaces. These compounds accumulate with each glass, creating persistent discoloration that intensifies over time.
Red wine’s tannins amplify this staining process through chromogen tannin interactions. These polyphenols act as binding agents, anchoring pigments firmly to your enamel and trapping them within surface plaque. The synergy between tannins and chromogens enables microscopic enamel penetration, where pigments seep into tiny cracks and irregularities on your teeth.
Repeated exposure builds layered deposits that produce dull brown and grayish hues. Scanning electron microscopy confirms these stains form mechanically adherent surface layers—explaining why wine ranks among beverages with the highest staining potential, comparable to black tea.
Enamel Porosity Creates Discoloration
When acidic wine contacts your enamel, it initiates a demineralization process that fundamentally alters your tooth structure. This acid-induced demineralization creates microscopic pathways that transform your enamel into a porous surface highly vulnerable to pigment penetration.
Your heightened staining susceptibility follows a predictable pattern:
- Immediate softening: Wine’s acidity weakens your enamel’s protective barrier within minutes
- Pore formation: Demineralization creates channels where tannins and chromogens lodge permanently
- Progressive binding: Wine pigments attach to exposed minerals in your compromised enamel structure
- Erosion acceleration: Repeated exposure prevents natural remineralization, deepening discoloration
If you’ve undergone teeth whitening, your vulnerability intensifies. Bleaching agents increase porosity for up to one week post-treatment, making your enamel absorb wine stains more aggressively than untreated teeth.
Comparing Treatment Options Based on Stain Severity
Wine stains on teeth vary tremendously in depth and severity, requiring different cosmetic dentistry approaches for ideal results. For mild surface stains, you’ll achieve optimal desirable outcomes through professional in-chair whitening that brightens your smile up to 8 shades in one hour, or customized whitening kits for at-home use.
Moderate intrinsic stains respond well to dental bonding, which applies resin to mask discoloration cost-effectively, or enamel microabrasion for superficial cases. Severe intrinsic stains demand restorative solutions like porcelain veneers that permanently cover deep discoloration unresponsive to whitening treatments.
When you’re facing stains with structural damage indicating cavities, crowns become necessary to restore both function and appearance. Your dentist will assess your specific stain severity to recommend the most effective treatment protocol for your situation.
Natural At-Home Remedies for Wine Stain Removal

Before investing in professional treatments, you’ll want to explore proven at-home methods that can effectively reduce wine stains. Natural remedies like baking soda paste and hydrogen peroxide rinses offer accessible whitening solutions when used correctly and consistently.
However, understanding proper application techniques and safety precautions is essential to protect your enamel while achieving noticeable results.
Gentle DIY Whitening Methods
For those seeking cost-effective alternatives to professional treatments, several natural at-home remedies can help diminish wine stains between dental visits. These gentle methods complement proper tooth brushing techniques while providing minimally abrasive polishing:
- Baking Soda Paste: Mix one tablespoon baking soda with two tablespoons hydrogen peroxide. Apply evenly, brush for two minutes, and repeat 2-3 times weekly to polish surface stains.
- Oil Pulling: Swish one tablespoon coconut oil for 15-20 minutes daily before brushing. This antimicrobial practice reduces plaque accumulation that traps wine pigments.
- Apple Cider Vinegar Rinse: Dilute one part vinegar with two parts water. Swish for one minute once weekly, rinse thoroughly, then brush to remove stains.
- Strawberry Treatment: Mash one strawberry with half teaspoon baking soda. Apply for 5-10 minutes weekly; malic acid gently dissolves surface discoloration.
Precautions and Safety Tips
While these natural remedies offer accessible solutions for wine stain removal, improper application can damage your tooth enamel and create new dental problems. Frequency concerns demand strict adherence to recommended schedules—limit acidic treatments like apple cider vinegar to once or twice weekly, and apply baking soda paste only two to three times weekly.
Always dilute vinegar with two parts water and rinse thoroughly afterward. Rinse moderation applies equally to oil pulling; perform this technique as a supplement, not a replacement for standard brushing protocols. Avoid over-scrubbing with abrasive pastes, and never use high-acid mixtures like lemon juice regularly.
After any natural treatment, brush gently and drink water to neutralize residual acids. These controlled applications protect your enamel while gradually reducing wine stains through sustained, disciplined practice.
Preventative Strategies While Drinking Wine
Although wine enthusiasts need not abandon their favorite beverage, implementing strategic preventative measures markedly reduces staining risks during consumption. Drinking sequence modifications protect enamel by starting with red wine rather than white, preventing acidic primers that enhance tannin adhesion. Pairing with calcium-rich foods like Cheddar and Asiago creates protective barriers that seal tooth micro-pores.
Start with red wine before white and pair with aged cheeses to create protective barriers against tooth staining.
Essential prevention strategies include:
- Brushing and flossing before drinking removes plaque that readily absorbs wine pigments
- Alternating wine with sparkling water provides bubble-action cleaning that dislodges tannins
- Consuming high-fiber vegetables stimulates saliva production while mechanically scrubbing tooth surfaces
- Using reusable straws minimizes direct contact between wine and front teeth
These evidence-based techniques give you immediate control over stain prevention without sacrificing enjoyment.
Post-Consumption Care and Daily Maintenance

Rinsing out wine residue immediately after your last sip represents the most critical window for preventing permanent stains. Swirl water thoroughly to dislodge pigment particles before they bond to enamel. You’ll maximize acid neutralization by sipping water between glasses, creating a protective barrier against chromogens.
Wait 30 minutes before brushing—this delay allows enamel remineralization through saliva’s natural buffering action. When you brush, use whitening toothpaste twice daily for two minutes with a soft-bristled brush. Floss nightly to extract trapped particles between teeth.
Your maintenance routine should include enamel-strengthening mouthwash like Crest 3DWhite for gentle surface stain removal. Consume crunchy vegetables like celery to mechanically scrub residue. Avoid mixing white wine before red, as this accelerates enamel erosion and facilitates stain adhesion.
Choosing the Right Treatment for Your Smile Goals
Prevention through daily maintenance works best when stains haven’t yet compromised your smile’s appearance. When discoloration persists, you’ll need a dental evaluation process to determine excellent treatment. Your dentist will assess stain depth, tooth structure, and overall oral health to create your personalized plan.
Match your treatment to specific objectives:
- Professional whitening delivers noticeable surface stain removal within one visit, ideal when you’re facing time constraints.
- Dental bonding corrects localized interproximal discoloration in a single appointment at minimal cost.
- Porcelain veneers provide expansive coverage for deep, resistant wine stains lasting 10–15 years.
- Natural remedies offer gradual maintenance for mild discoloration without chemical intervention.
The stain removal timeline varies considerably—from immediate bonding results to weeks-long natural remedy protocols. Your dentist guides selection based on severity, budget, and desired permanence.
Frequently Asked Questions
How Much Do Cosmetic Dentistry Wine Stain Treatments Typically Cost?
You’ll spend roughly the equivalent of a Model T Ford—$300 to $2,500 per tooth—depending on your chosen treatment. Most practices offer payment plans and financing options, with 99% approval rates, giving you complete control over your investment timeline.
Does Dental Insurance Cover Cosmetic Procedures for Wine Stain Removal?
Most dental plan coverage won’t reimburse wine stain removal since it’s cosmetic. However, insurance policy limitations may allow partial coverage if staining accompanies damaged enamel or decay. You’ll need pre-authorization to determine your specific benefits and out-of-pocket costs.
How Long Do Cosmetic Dentistry Results Last for Wine Stains?
Your brilliantly white smile typically glows for 1-3 years with professional treatment. Teeth whitening duration depends on your stain prevention maintenance habits—avoiding red wine during the critical 48-72 hour window and practicing consistent oral hygiene maximizes your results.
Are Cosmetic Treatments for Wine Stains Safe During Pregnancy?
Most cosmetic treatments aren’t recommended. Whitening during pregnancy poses unnecessary risks from chemical absorption and gum sensitivity. You’ll want to prioritize dental procedure safety by postponing elective wine stain treatments until after delivery and breastfeeding for ideal protection.
Can Wine Stains Return After Professional Cosmetic Dental Treatment?
Yes, wine stains absolutely return without action! You’ll need professional whitening maintenance every 1–3 years and lifestyle changes to prevent recurrence. Reducing wine intake, maintaining excellent oral hygiene, and using at-home touch-ups preserve your results effectively.



