You’ll find professional whitening delivers superior results—achieving ΔE values of 3.3-5.92 compared to at-home products’ 2.0—with treatments costing $300-$1,000 that last 1-3 years under expert supervision. While the initial investment exceeds over-the-counter options by 5-15 times, you’ll avoid cumulative expenses from repeated purchases and benefit from FDA-approved formulations with protective protocols that minimize sensitivity risks. The detailed examination below examines how treatment effectiveness, safety standards, and long-term value determine whether professional whitening aligns with your clinical needs and budget.
Key Takeaways
- Professional whitening achieves superior results (ΔE 3.3-5.92) with 90-97% success rates, compared to at-home methods (ΔE ~2.0).
- Dentist supervision ensures safety through oral assessments, FDA-approved formulations, protective barriers, and sensitivity monitoring throughout treatment.
- In-office treatments cost $300-$1,000 per session, significantly more expensive than $20-$100 over-the-counter alternatives upfront.
- Results last 1-3 years with professional treatment versus 3-6 months with at-home products, reducing long-term retreatment frequency.
- Professional services deliver visible whitening in one session, while consumer products require weeks of daily compliance.
Superior Whitening Results and Treatment Effectiveness
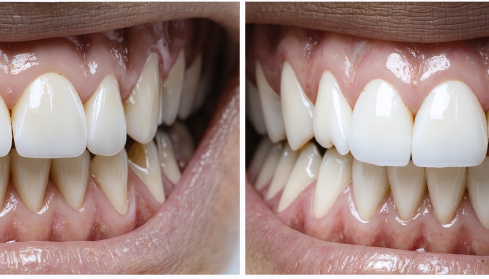
When you choose professional whitening services, you’re accessing concentrations and protocols that deliver measurably superior results compared to over-the-counter alternatives. In-office treatments utilizing 35-40% hydrogen peroxide achieve immediate ΔE values ranging from 3.3 to 5.92, demonstrating significant color intensity shifts that surpass at-home methods’ ΔE of approximately 2.0.
Evidence-based studies document whiteness enhancement of up to 10 shades through professional systems, with success rates reaching 90-97% even after five years.
You’ll experience faster treatment timelines—substantial results in one session versus weeks with consumer products. The higher peroxide concentrations you receive under professional supervision produce more pronounced short-term color shifts, while combined in-office and home regimens maintain your whiteness enhancement for 6 months to 3 years, depending on your habits and staining factors. Professional treatments can incorporate adjunctive techniques like LED/light activation or ozone application to maximize whitening effectiveness while reducing potential side effects. Professional whitening systems achieve significant improvements in lightness and color reduction, increasing L* values while simultaneously decreasing both redness (a*) and yellowness (b*) parameters in the CIE Lab color space.
Professional Supervision and Safety Standards
Before any whitening agent contacts your teeth, your dentist conducts a thorough oral health assessment to verify you’re a suitable candidate for bleaching procedures. This examination identifies contraindications like decay, enamel erosion, or gum disease that could compromise treatment outcomes. Baseline tooth shade is documented during this assessment to accurately track your progress throughout the treatment. Only GDC-registered professionals with appropriate certifications can supervise your whitening treatment, ensuring minimal risks through effective oversight.
Your dentist develops a customized treatment plan, prescribes necessary radiographs, and obtains informed consent. They utilize FDA-approved formulations with controlled peroxide concentrations and implement strict hygiene protocols. Throughout the procedure, trained staff monitor your response, adjusting treatment immediately if you experience sensitivity. Protective barriers shield your soft tissues, while the professional manages any discomfort on-site. This supervised approach transforms whitening from a cosmetic gamble into a controlled medical procedure. In-office treatments employ high-concentration bleaching agents and advanced equipment to deliver immediate, significant whitening results.
Cost Considerations and Financial Investment
Professional teeth whitening requires a substantial financial investment, with in-office treatments averaging $500-$650 nationally compared to over-the-counter products at $25-$100. You’ll pay 5-15 times more for professional services, but the cost difference reflects enhanced effectiveness, safety protocols, and supervised application rather than just cosmetic results.
When evaluating this expense, you must weigh immediate out-of-pocket costs against factors like treatment longevity, shade improvement potential, and the value of professional oversight for your oral health. Professional whitening results typically last around 12-18 months, providing extended value compared to at-home alternatives that require more frequent reapplication. Many dental offices offer payment plans or financing options to help make the investment more manageable for patients seeking cosmetic improvements.
Professional vs. At-Home Costs
Understanding the financial investment required for teeth whitening requires examining both immediate expenses and long-term value. Professional treatments range from $300-$1,000+ per session, with Aspen Dental averaging $449 for gel and chair time. You’ll benefit from superior technology and materials that deliver results lasting 6-12 months with proper maintenance. These professional procedures utilize high-concentration bleaching gels often activated by specialized lights or lasers to achieve dramatic results in a single visit.
At-home alternatives cost $20-$100 for over-the-counter kits, $40-$70 for strips, and $30-$60 for whitening pens. However, these typically require repeated purchases every 3-6 months, creating cumulative expenses that may exceed professional costs over time. Multiple purchases become necessary to maintain visible results with at-home products.
Your lifestyle considerations and personal preferences determine ideal value. Professional services offer concentrated, one-time investments with less frequent touch-ups, while at-home methods provide scheduling flexibility but demand consistent daily compliance and ongoing financial commitment.
Long-Term Value Assessment
When evaluating teeth whitening investments, you’ll need to calculate cost-per-year rather than focusing solely on upfront expenses. Professional treatments costing $300–$1,000 deliver results lasting one to three years, translating to approximately $100–$333 annually. Compare this to over-the-counter products at $5–$55 that require replacement every few months, accumulating $20–$220 yearly.
Treatment lifecycle expenses include touch-up sessions ($100–$300) needed based on your consumption of staining substances like coffee or tobacco. You’ll control frequency through proper oral hygiene and dietary modifications.
Maximizing cost effectiveness means selecting treatments matching your staining severity. Moderate to severe discoloration justifies professional investment since single sessions eliminate multiple over-the-counter applications. Extended result duration—six months to three years versus mere months—reduces retreatment frequency, improving long-term return on investment. Dentist-supervised at-home kits ranging from $100 to $600 provide custom-fitted trays that ensure consistent gel contact with tooth surfaces for gradual whitening over one to two weeks. Some packages include additional services like pre-treatment dental cleaning or sensitivity treatments, which add value to your investment.
Time Efficiency and Immediate Results
Professional whitening delivers results in a single 1-hour session, whereas at-home kits require several weeks of daily application to achieve comparable outcomes. You’ll notice immediate color shifts after in-office treatment, with ΔE values around 3.3 and potential improvements of up to 8 shades in one appointment.
This efficiency stems from higher peroxide concentrations (35-40% HP) combined with professional application techniques that accelerate the bleaching process.
Single-Session Treatment Duration
One of the most compelling advantages of professional whitening is its brevity—most treatments conclude within a single 60- to 90-minute appointment. You’ll complete the entire bleaching process in roughly 45 minutes, with preparation adding minimal time to your total visit. Treatment length variations depend on your stain severity and target shade, ranging from 30 minutes for mild discoloration to 2 hours for extensive cases.
This efficiency grants you significant treatment timing flexibility compared to at-home alternatives requiring daily 1-2 hour applications over weeks. Your dental professional monitors gel exposure throughout the session, adjusting duration as needed. High-concentration peroxide formulations achieve results within this condensed timeframe, often accelerated by light or laser activation. You’re investing one focused visit rather than committing to prolonged daily routines.
Immediate Whitening Results
Unlike at-home systems requiring weeks to manifest visible changes, in-office whitening delivers discernible shade improvements within your initial 60–90 minute session. You’ll observe immediate teeth transformation, typically achieving 5–8 shades lighter through concentrated hydrogen peroxide formulations (35–40%). Professional protocols generate ΔE values around 3.3—considerably exceeding at-home results of 2.0—with systems like Zoom averaging 7–8 shades and Opalescence Boost producing four-shade improvements immediately post-treatment.
Your final results become more apparent over 1–2 days following application. Enamel quality considerations prominently influence outcome speed; stronger enamel structures yield faster, more predictable whitening. Younger patients typically experience accelerated results due to superior enamel integrity. While 10–15 shade improvements remain possible, clinical data indicates 7–8 shades represents realistic expectations, with 90% treatment success rates documented across professional whitening protocols.
Comparing At-Home Timeframes
Your whitening timeline depends considerably on which method you choose. Professional in-office treatments deliver 1-4 shades improvement in a single 20-minute session, with total treatment time limited to 1-2 hours for ideal results. You’ll achieve 8 shades whiter without extended daily commitments.
Professional take-home kits require 30-60 minutes daily for 2-3 weeks, producing 4-6 shades improvement. These expected timeframes depend on your consistent application discipline following dentist instructions.
OTC drugstore options demand 4-6 weeks of daily use for 2-3 shades whiter. You’ll invest 1-2 hours per day over multiple weeks due to lower peroxide concentrations.
The efficiency difference is significant: professional treatments penetrate deeper for rapid stain removal, while at-home methods prolong the process through surface-level whitening only.
Tooth Sensitivity and Discomfort Issues
Tooth sensitivity represents the most prevalent adverse effect of professional whitening treatments, affecting approximately 67% of patients who undergo traditional bleaching procedures. Higher peroxide concentrations directly correlate with increased discomfort—40% hydrogen peroxide formulations produce mean sensitivity scores of 6.2 compared to 2.2 for 10% carbamide peroxide.
The whitening agents penetrate enamel and expose dentin through microscopic channels, triggering sharp pain responses to temperature stimuli. You’ll typically experience sensitivity within one day of treatment, lasting several hours to a few days. Individual biological factors extensively influence your experience, including enamel thickness and baseline tooth sensitivity.
Following dental professionals’ guidance on concentration selection proves essential—professional tiered options allow you to choose lower concentrations (10-15% hydrogen peroxide) for gradual results with reduced sensitivity exposure.
Duration of Results and Long-Term Maintenance

Professional whitening results typically hold up for 6 months to 3 years, with most patients maintaining visible brightness for 1 to 2 years following treatment. Your outcome duration depends on controllable factors: dietary choices, oral hygiene consistency, and tobacco avoidance directly influence how long you’ll retain whiteness. Clinical studies confirm that your teeth remain lighter than baseline even after 2 years, though inevitable color relapse occurs through natural aging and daily habits.
You’ll maximize longevity through strategic maintenance: professional cleanings every 12 to 24 months, whitening toothpaste for surface stain prevention, and dentist-prescribed touch-up trays when needed. The lifestyle impact on results is significant—limiting stain-causing foods and beverages during initial post-treatment weeks establishes lasting brightness. Professional treatments demonstrably outlast over-the-counter products, which typically fade within weeks to 3 months.
Access to High-Concentration Whitening Agents
Beyond maintaining results through lifestyle modifications, the concentration of bleaching agents fundamentally determines treatment effectiveness. You’ll access formulations up to 25-35% hydrogen peroxide through professional services—significantly stronger than over-the-counter products. These high concentrations penetrate enamel to break down chromogens efficiently, achieving up to 8 shades lighter in one session.
However, this access comes with selective patient eligibility requirements. Your dentist evaluates oral health, existing restorations, and staining severity before approving treatment. The degree of customization extends to peroxide selection—hydrogen peroxide for rapid results or carbamide peroxide for extended action on stubborn stains.
You’ll benefit from gingival protection and desensitizing agents like potassium nitrate, though 35% hydrogen peroxide causes sensitivity in all cases. Teeth with restorations face unacceptable color changes and heightened pain risk during aggressive bleaching regimens.
Alternative Options and At-Home Comparisons

While professional whitening delivers superior results, comparing treatment modalities reveals distinct trade-offs in cost, convenience, and clinical outcomes. At-home kits average $50 versus professional services at $300+, offering flexible scheduling options and convenient at home administration without appointment constraints. However, over-the-counter products produce gradual whitening of 3-6 shades over weeks, compared to professional treatments achieving 8 shades in 1-2 hours.
You’ll face increased risks with at-home methods: gum irritation, uneven results, and potential enamel damage from improper application. Generic trays create poor fit, compounding complications. Professional supervision minimizes adverse effects through custom application and health screening.
Results longevity differs considerably—at-home whitening fades rapidly, requiring frequent reapplication, while professionally administered treatments penetrate deeper, maintaining brightness up to one year with appropriate maintenance protocols.
Frequently Asked Questions
What Age Group Sees the Best Results From Professional Teeth Whitening?
The perfect age range for whitening is 14-30 years, when you’ll achieve superior results due to thicker enamel and fewer deep stains. You’ll experience minimal sensitivity concerns with whitening compared to older patients with thinning enamel.
How Many Americans Have Actually Tried Professional Whitening Treatments?
You’ll be amazed: 19% of Americans have tried professional whitening treatments. Demographic trends show peak usage under 45, though effectiveness varies for specific dental conditions. You control your treatment choice by understanding these evidence-based patterns before committing.
Does Dental Insurance Typically Cover Professional Teeth Whitening Procedures?
No, dental plan coverage typically excludes professional teeth whitening since it’s classified as cosmetic. Only 17% of plans offer any coverage due to insurance plan limitations prioritizing medically necessary treatments. You’ll likely pay out-of-pocket for whitening procedures.
Can Professional Whitening Damage Tooth Enamel or Existing Dental Work?
Professional whitening won’t damage enamel when properly performed, though excessive treatments risk potential enamel erosion. You’ll experience impacts on existing fillings, as restorations don’t whiten and may cause increased sensitivity. Your dentist’s pre-treatment assessment guarantees safe candidacy.
How Does Professional Whitening Affect People With Pre-Existing Dental Sensitivity?
You’ll likely experience increased sensitivity, gum irritation, and heightened discomfort due to exposed dentin. Your dentist can minimize these effects through desensitizing treatments, protective barriers, and adjusted peroxide concentrations tailored to your specific sensitivity level.
References
- https://www.alpinewhite.com/en/article/teeth-whitening-statistics/
- https://straitsresearch.com/report/professional-teeth-whitening-market
- https://drjohnpatterson.com/teeth-whitening-statistics/
- https://www.rankmydentist.com/blog/oral-health/teeth-whitening-statistics-and-trends
- https://www.loudfamilydentistry.com/blog/teeth-whitening-related-statistics-on-effectiveness-and-sensitivity-incidence
- https://www.thedentalspajersey.com/blog/teeth-whitening-statistics-2024
- https://www.grandviewresearch.com/industry-analysis/teeth-whitening-market-report
- https://www.statista.com/statistics/287384/usage-of-tooth-whiteners-in-the-us-trend/
- https://pmc.ncbi.nlm.nih.gov/articles/PMC10302806/
- https://pmc.ncbi.nlm.nih.gov/articles/PMC4058574/



